近期,上海市第一人民医院眼科
接诊了一位“铲屎官”
短短一个月视网膜严重受损
而险些让他致盲的元凶
居然是逗猫用的激光笔
其实不止养猫家庭
不少会议室里也有激光笔
甚至市场上给还有激光笔玩具出售
其中的安全隐患
真的要给所有人提个醒!
“逗猫”一个月,视力骤降
目前仅能看清30厘米处手指
据医生介绍,患者近一个月来发现自己视力持续下降,没有眼痛、眼红等其他不适,起初以为是疲劳所致,直到看东西越来越模糊,才赶紧来院就诊。
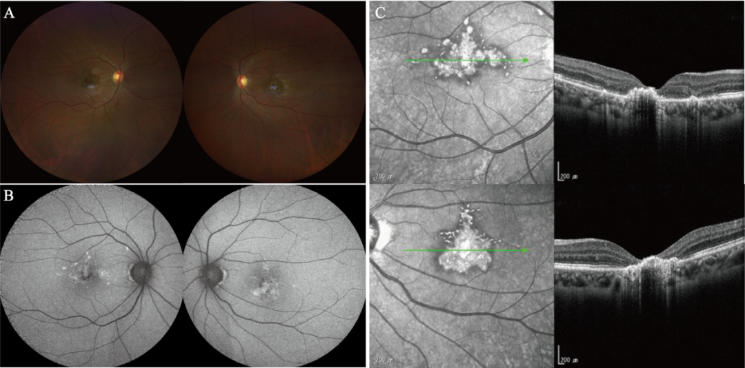
眼科检查结果让人揪心:她的双眼视力从正常的1.0暴跌至只能看清眼前30厘米处的手指动作(医学上称为“FC/30cm”)。
眼底检查影像更显示,她的黄斑有一些较密集的新旧病灶并存的累积性损伤,且损伤已累及深层组织,恢复希望渺茫。而这些病变提示视网膜强光损伤。

追问病史时,这位患者既不从事强光相关职业,也没有被强光照射的经历——唯一的“疑点”,是她网购的一支红色激光笔。“我每天用它逗猫,自己也会偶尔看地上移动的红点,地板上反光的,当时没觉得不舒服,顶多眼冒黑影,但还能正常开车。”患者的话,道出了关键隐患。

为什么激光笔能“烧”坏眼睛?
更让人防不胜防的是
眼睛被强光照射或激光损伤后
不会有疼痛感
但是会出现:
视力骤降、视物变形、中心暗点、
色觉异常、或有闪光感
很多人疑惑:激光笔明明只是个小光点,怎么会有这么大破坏力?这要从激光的特性说起——激光聚焦性很强,医用在一定的时间,强度,光斑大小,照射角度等条件控制下,可在视网膜上产生明显热灼伤,在眼科利用激光这种热破坏效应可进行眼底视网膜病变的治疗。

高功率的激光笔,同样可达到破坏效应,已经超出了日常生活使用范围,更危险的是,伤害不仅可来自激光直接照射,瓷砖、玻璃、金属等光滑表面反射的激光,哪怕经过衰减,仍可能有强破坏力。像李女士接触的红色激光,波长更长、穿透力更强,能直达视网膜深层甚至脉络膜,且每日的叠加照射,造成更广泛的损伤,且这种损伤往往是永久性的。
但市面上的“逗猫激光笔”“高亮激光笔”,大多没有经过安全调控,功率甚至远超医用治疗激光,风险完全不可控。非专业人士不应随意使用或售卖。
据深圳市卫健委,激光笔,能发射出世界上最亮的光——激光。激光聚焦后,亮度要比太阳表面的平均亮度高出上千万倍!
如果对着光源处看,大量激光瞬间聚集到视网膜上,会对眼睛造成不可逆的伤害,目前没有药物和手术能治好。
如何降低激光笔的危害
市面上的大部分激光笔没有危险标识,有些激光笔甚至标注为“儿童用品”。为保护孩子免受激光笔伤害,家长与教师们请注意。
一、请勿给孩子购买激光笔或带有激光功能的玩具。若家中或教室有激光笔,请存放于孩子无法触及的地方。
二、告诉孩子错误使用激光笔的危害,同时强调要避免激光直射自己及他人的眼睛、皮肤及衣服。
三、增强孩子的护眼意识,教育孩子不要直视任何刺激性强光,若不慎被激光笔照射眼睛,应立即闭眼并转头回避。
四、激光笔致单眼损伤居多,在双眼视物时,孩子可能无法及时发现症状。当孩子的眼睛被激光笔照射后,家长或教师应分别遮盖孩子单眼,然后询问孩子视物情况,若孩子有视物模糊、眼睛变形及眼球颜色变淡等症状,应及时带孩子就诊。
来源:上海市第一人民医院、新闻坊、FM93浙江交通之声、深圳卫健委、科普中国等









